Topuğunda Sürekli Acı Hissediyordu – Bakın Doktor Acısını Hemen Nasıl Geçirdi
Ayağınızda acı hissetmek hem sinir bozucu hem de can yakıcı olabiliyor. Hele bir de bütün gün ayakta durmanız gereken bir işiniz varsa…
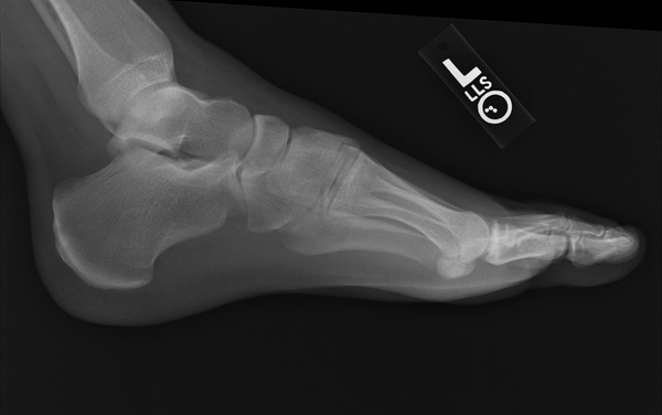
Bir ayağınızda ya da her iki ayağınızda da kronik ağrı hissediyorsanız bunun nedeni topuk dikeni olabilir. Kulağa korkutucu gelse de tedavi edilebilir.
Dr. Donald DeFabio, topuk dikeninden kurtulmanın kolay olduğunu ifade ediyor. Topuk dikeni, ayağınızı aşırı acıtır. Kendiliğinden geçmesi ise bir yılı bulabilir.
En çok etkilenen kişiler de atletler gibi aktif olarak spor yapanlar ve topuklu ayakkabı giyenlerdir.Topuk dikenine sahip olan kişiler acıyı birilerinin ayaklarına neşter batırması gibi tarif ediyorlar
Uzun bir süre aynı yerde oturduktan sonra veya sabahları kalktığınızda acısını daha fazla hissedersiniz. Topuk dikeni, aslında topuk kemiğinin alt kısmında diken benzeri bir çıkıntıya verilen addır.
Dr. DeFabio, topuk dikeninden kurtulmak için etkili olduğunu söylediği bir tekniği insanlara açıklıyor.Amaç ise yangıyı hafifletmek. Dr. DeFabio’nun tekniğini hemen aşağıdan izleyerek öğrenin;
Topuk acısı çeken arkadaşlarınızla yöntemi paylaşmayı unutmayın. Size teşekkür edecekler!




